request appointment
It’s Virtually Possible To Luv Your Smile
Our virtual consultation for new patients and virtual visits for existing patients through remote monitoring provide accessible and top-notch orthodontic care from the comfort of your home. Enjoy the flexibility and convenience without sacrificing the warm, personalized attention you deserve from our expert team.
How It Works:
First, you’ll snap a few pictures of your teeth. Then, tell us about yourself!
Step 1
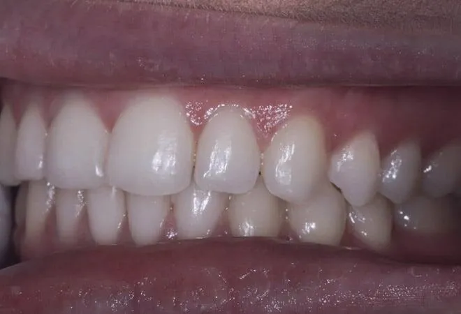
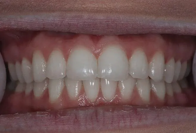
With your smartphone and someone to help you, replicate these 8 photos below. The better the picture you send, the more we can see and discuss!
Need Help Taking Photos?
Try to make sure that the room is well lit for the best quality photos.
A good way to help retract your cheeks away from your teeth during the photos is for you to hold your cheeks with 2 spoons, while your friend or family member takes the photos for you.
Step 2
Fill out the form! Our team will assess your smile and let you know if treatment is right for you.
Debug: Form type not supported
